肺纖維化是由多種原因引起的急慢性間質性 肺疾病,主要病因為氣虛陰虛、肺腎虧虛、痰瘀 互阻肺絡。近年來,肺間質纖維化發病率有增高 趨勢,傳統的糖皮質激素和細胞毒藥物療效不佳。 蟲草多糖是發酵蟲草菌粉中最主要的生物活性物 質,蟲草發酵過程中產生的廢液(濾液)中還含有較 豐富的蟲草多糖。根據文獻報道,其具有抗氧化、 抗腫瘤、增強免疫等作用,也有抗大鼠肝纖維 化作用,但抗肺纖維化作用的報道尚不多見。本 實驗研究從蟲草發酵廢液中提取得到的蟲草多糖 抗小鼠肺纖維化作用,為蟲草發酵廢液的合理應用 和抗肺纖維化藥物的研發提供一定的實驗依據。
蟲草菌粉和蟲草多糖各提取物均由杭州中美華東制藥有限公司 101 車間提供(批號分別為 ZYZJ001,HD101001)。蟲草多糖從蟲草發酵過程 產生的廢液中提取得到,總多糖含量高達 64%。 提取得到的蟲草總多糖經過分離后得到相對分子 量(molecular mass,MW)<2×105 的蟲草多糖和 MW>2×105 的蟲草多糖。蟲草菌粉為百令膠囊的 原料。 注射用鹽酸平陽霉素(天津太河制藥有限公 司,批號:171201);小鼠白介素 1 受體抑制劑 (interleukin-1 receptor antagonist,IL-1RA)測定試 劑盒(武漢博士德生物工程有限公司,批號: 11013651114);羥脯氨酸(hydroxyproline,Hyp)測 試劑盒 ( 南京建成生物工程研究所,批號: 20170818);麗春紅、磷鉬酸(批號:F20070904, F20090116)均購自國藥集團化學試劑有限公司;酸性品紅 ( 上海三愛思試劑有限公司,批號: 20061109);水溶苯胺藍(中國上海標本模型廠,批 號:20070930);二甲苯(衢州巨化試劑有限公司, 批號:20161101);無水乙醇(安徽安特生物化學有 限公司,批號:1609113601)。
電子天平(德平賽多利斯); Tissuelyser2 組織破碎機(德國 Retsch 公司); Sunrise-basic 光吸收酶標儀(瑞士 Tecan 集團公司); Allegra 64R 離心機(貝克曼庫爾特公司產品); XW-80A 漩渦混合器(上海醫大儀器廠);JHS-080 型精密恒溫恒濕箱(上海精宏實驗設備有限公司); YD-335 電腦切片機、YD-A 智能型生物組織攤片 機均購自浙江省金華市益迪醫療設備廠;420 型數 碼照相機(奧林巴斯);BA310 生物顯微鏡(麥克奧迪實業集團有限公司)。
ICR 小鼠 72 只,♀♂各半,體質量 20~23 g, 由浙江省實驗動物中心提供,動物生產許可證號: SCXK(浙)2014-0001,合格證號:1801110028。分 為 6 組:空白組、模型組、蟲草菌粉組(陽性對照)、 蟲草總多糖組、蟲草多糖(MW<2×105 )組和蟲草多 糖(MW>2×105 )組,每組 12 只。
除空白組外, 其余小鼠均造模。4%水合氯醛(0.01 mL·g?1 )腹腔 注射麻醉小鼠,固定,分離氣管,趁其吸氣瞬間 迅速注射藥物。其中造模動物注射平陽霉素,劑 量為 5.5 μg·g?1 ,空白組注射等量的生理鹽水,注 射完立即 360°水平旋轉小鼠,使藥液在肺內均勻分布。
造模 1 周后,將造模動物隨機 分組并開始給藥,各給藥組均按 500 mg·kg?1 灌胃 給藥(藥物均用純凈水溶解),每天 1 次,連續 3 周。 空白組給予等量的純凈水。
末次給藥后,次日眼眶 取血,然后立即脫頸椎處死小鼠,開胸腔取肺組 織,一部分肺做消化,使用試劑盒測定 Hyp 含量。 部分肺組織通過支氣管注入 Bouin 液后并放入 Bouin 液中固定。血液離心 3 000 r·min?1 10 min 得 上清液血清,采用酶聯免疫吸附法測定 IL-1RA 含量。
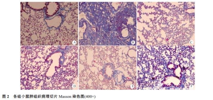
肺組織在 Bouin 液中固定 24 h 后梯度乙醇脫水,二甲苯透明,浸蠟,石蠟包埋,常規切片,行Masson 染色,觀察膠原沉 積,使用 Motic Med 6.0 數碼醫學圖像分析系統檢 測肺纖維化面積。
采用 SPSS 16.5 統計軟件進 行單因素方差分析,實驗數據以 x ? s 表示,兩兩 比較采用 LSD-t 檢驗,以 P<0.05 為差異具有統計 學意義。
與空白組相比,造模后的小鼠體質量顯著降 低,小鼠肺纖維化模型組血清中 IL-1RA 水平明顯 降低,肺組織中 Hyp 含量明顯升高(P<0.01)。與肺 纖維化模型組相比,蟲草菌粉組、蟲草總多糖組、 蟲草多糖(MW<2×105 )組的血清中 IL-1RA 水平均 明顯升高(P<0.05,P<0.01),肺組織中 Hyp 的含量 均明顯降低(P<0.05,P<0.01)。結果見圖 1。

與空白組相比,模型組小鼠肺纖維化面積明 顯增大(P<0.01)。與模型組相比,蟲草總多糖組、 蟲草多糖(MW<2×105 )組的肺纖維化面積明顯減 小(P<0.05,P<0.01),結果見表 1。各組小鼠肺組 織病理切片 Masson 染色圖見圖 2,肺纖維化模型 組小鼠的整個肺泡組織膠原纖維呈彌散性分布, 而蟲草菌粉組、蟲草總多糖組、蟲草多糖 (MW<2×105 )組的小鼠肺泡組織膠原纖維呈零星 的散在分布,特別是蟲草多糖(MW<2×105 )組的小 鼠肺組織染色趨近空白組。

本研究采用在小鼠氣管內一次性注射平陽霉 素的方法制作肺間質纖維化動物模型。該方法具 有可靠性高、給藥劑量小、給藥次數少、造模時 間短等優點。在肺間質性病變過程中,早期是肺 泡炎及大量炎性細胞浸潤,后期是肺纖維化,大 量間質細胞增生及膠原蛋白沉積。 單核巨噬細胞是 IL-1 的主要產生細胞,在肺 纖維化的發病過程中,IL-1 既可介導肺泡炎期的 損傷,又可促進間質損傷修復乃至過度修復引起 間質纖維化。由單核巨噬細胞和上皮細胞產生的 IL-1RA,可競爭性地與 IL-1R 結合從而阻斷 IL-1 的活性。IL-1RA是重要的內源性炎癥調節因子,能抑制中性粒細胞泡內積聚,阻斷 IL-1 引起的前 列腺素 E2 釋放,提高血清中糖皮質激素的濃度。 IL-1RA 以很高的親和力與 IL-1α、IL-1β 競爭性結 合IL-1R,但因為它缺乏IL-1R輔助蛋白(IL-1R-ACP) 結合的區域,故不具有進一步激發信息傳導的功 能。IL-1RA 與具有信號傳導功能的 IL-1R 結合, 從而抑制 IL-1α、IL-1β 的活性,達到減輕纖維化 的作用。本文的研究結果顯示蟲草菌粉組、蟲草 總多糖、蟲草多糖(MW<2×105 )組可顯著升高模型 小鼠血清中 IL-1RA 水平,具有一定程度的抗纖維化作用。